LATVIJAS ULTRASONOGRĀFISTU ASOCIĀCIJAS UN LATVIJAS GINEKOLOGU UN DZEMDĪBU SPECIĀLISTU ASOCIĀCIJAS KOPSĒDE
Diagnostiskie jaunumi
Rekomendācijas vairogdziedzera mezglu punkcijas biopsijai.
06.11.2020
P.Priedītis MD1, I.Konrāde, prof, MD2, Z.Narbuts, prof. MD3, A.Ozoliņš, prof. MD3, V.Fokins MD4, D.Jakovels MD4, U.Gailiša5, K.Ducena MD6, A.Bērziņa7 1....
Read More →
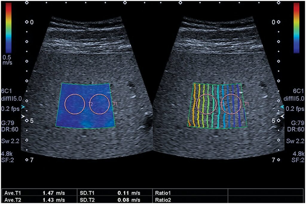
Rumāņu nacionālās aknu elastogrāfijas vadlīnijas un praktiskie ieteikumi
18.02.2020
Dažu pēdējo gadu laikā aknu elastogrāfijas pielietojums ir būtiski attīstījies; jaunu elastogrāfijas metožu ieviešana (pārejošā elastogrāfija, punkta bīdes viļņa elastogrāfija,...
Read More →
TIRADS
12.02.2019
Vairogdziedzera mezglu malignitātes riska standartizēta novērtēšanas sistēma TIRADS (Thyroid Imaging Reporting And Data System) Vairāk nekā 50 % pieaugušo ultrasonogrāfijas...
Read More →
Darba sludinājumi
Rīgas Austrumu klīniskā universitātes slimnīcas Diagnostiskās radioloģijas centrs aicina komandā Ārstu ultrasonogrāfijas speciālistu
15.10.2020
Nepieciešams: augstākā medicīniskā izglītība (ārsta grāds) pabeigta rezidentūra (internatūra, klīniskā ordinatūra) attiecīgajā specialitātē metodes sertifikāts ultrasonogrāfijā reģistrācija Ārstniecības personu reģistrā...
Read More →
VSIA ‘’LIMBAŽU SLIMNĪCA’’ AICINA PASTĀVĪGĀ DARBĀ ĀRSTU – VISPĀRĒJĀS ULTRASONOGRĀFIJAS METODES SPEICĀLISTU
29.09.2020
Prasības pretendentam: augstākā medicīniskā izglītība (ārsta grāds); sertifikāts specialitātē; reģistrācija ārstniecības personu valsts reģistrā; valsts valodas zināšanu atbilstība Latvijas Republikas...
Read More →
Sanatorija „Jantarnij Bereg” aicina darbā plaša profila ultrasonogrāfijas speciālistu.
01.07.2020
Darbs ar aparātu Acuson S2000 (2020.g.) Lūdzam sūtīt CV elektroniski uz е-pastu vaz@sanatorij.lv. Informācija pa tālr. 67146437.
Read More →